Welcome to Unique children's clinic and Dental Implant Center

Health Information Repository

Find reliable health information, FAQs & resources on topics of your interest

Meningitis: causes symptoms and treatment | Dr. Ashish Vora
Meningitis is a serious condition that can affect people of all ages, but it is especially concerning in children. Early diagnosis and prompt treat...
Dr. Ashish Vora
Childhood asthma & its care | Dr. Ashish Vora
Asthma is one of the most common chronic conditions affecting children worldwide. It can be distressing for both the child and the parents, but wit...
Dr. Ashish Vora
importance of flu vaccine and its timing | Dr. Ashish Vora
Seasonal influenza, commonly known as the flu, poses a significant health risk, especially to young children. The good news is that the flu vaccine...
Dr. Ashish Vora
changing weather and care To be taken for good child health | Dr. Ashish Vora
As seasons change, children are particularly susceptible to illnesses due to fluctuating temperatures and environmental factors. Ensuring their hea...
Dr. Ashish Vora
Understanding Fever in Children: What to Do & When to Worry | Dr. Ashish Vora
Fever is a common concern for parents and often the reason for late-night calls to the doctor. While a fever can be alarming, it’s also a natural...
Dr. Ashish Vora
Common Causes of Tummy Ache in Children and How to Help | Dr. Ashish Vora
Tummy aches are among the most frequent complaints among children, and they can have a variety of causes, ranging from mild to more serious. As a ...
Dr. Ashish Vora
What is need for Baby immunization - Dr. Ashish Vora
Baby immunization, also known as vaccination, plays a crucial role in safeguarding infants and children against various infectious diseases. Dr. As...
Dr. Ashish Vora
Tooth sensitivity - Dr. Reena Vora
Tooth sensitivity, also known as dentin hypersensitivity, is a common dental condition characterized by sharp, temporary pain or discomfort in resp...
Dr. Reena Vora
Child Development Milestone
Child Development Milestone | Unique Childrens Clinic | Dr. Ashish Vora
Milestones for Boys and Girls At Unique Children's Clinic, we understand the importance of tracking your child's developmental milestones. Every ...
Dr. Ashish Vora
CROWNS & BRIDGES - Dr. Reena Vora
Dental Crowns - Dental crowns are designed to cover damaged teeth like a cap. They are usually made of metal, porcelain, or a metal-porcelain compo...
Dr. Reena Vora
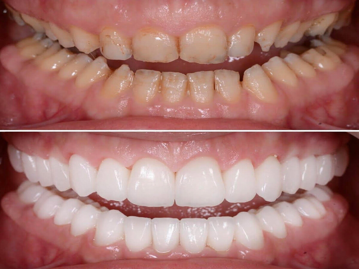
Full Mouth Rehablitation
Full Mouth Rehabilitation | Unique Dental Clinic | Karvenagar
Full mouth rehabilitation, also known as full mouth reconstruction or smile makeover, is a comprehensive dental treatment approach aimed at restori...
Dr. Reena Vora
Loading...
?
Ask Question
AboutMyClinic
SmartSite created on AboutMyClinic.com
Site-Help | Disclaimer
Disclaimer: The information provided here should not be used during any medical emergency or for the diagnosis or treatment of any medical condition. The information is provided solely for educational purpose and should not be considered a substitute for medical advice.